Our Approach
At Center For Contemporary Dentistry, we design a personalized treatment plan that will restore a healthier and confident smile. From fillings, crowns, bridges, implants, and dentures, our skilled team uses advanced techniques and high quality materials to ensure a comfortable, long lasting solution for your dental needs. Let us help you achieve a healthy, vibrant smile that last a lifetime.
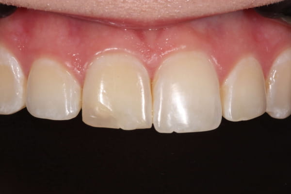
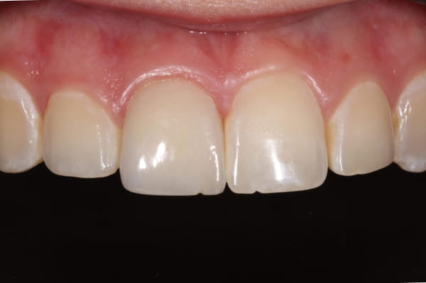
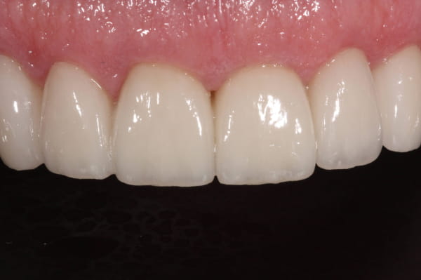
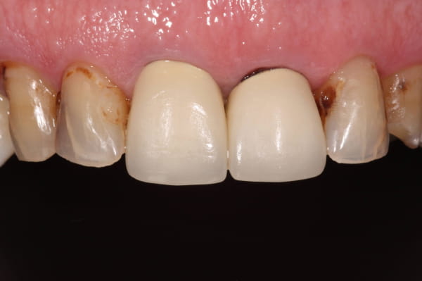
Gallery
Our dental team is passionate about creating beautiful smiles. We think results speak for themselves. Come in and ask questions, see pictures of our satisfied patients. You are just a consultation away from starting your new smile. Call today, and let us show you what you have been missing!
What We Offer
Composite Fillings
A composite filling is a tooth colored polymer (plastic) and glass mixture that is used to repair or fill teeth that have been harmed by decay. The fillings are placed to rebuild them and to restore their natural function. Most composite materials are shaded to match the specific tooth color, somewhat stain resistant and will protect the tooth from further damage. Direct restorations to restore decayed teeth usually require a single appointment and sometimes involves the administration of a local anesthetic. However, with our Solea laser, we have an efficient alternative to traditional dental procedures for fillings. Our laser promotes faster, healing, reducing pain, and improving bonding while minimizing the need for anesthesia and drilling.
Dental Implants
Dr. Lance Dillon’s experience and extensive training, along with advanced techniques and technology, can provide you with dental implant enhancements that can benefit you for the rest of your life. At Center For Contemporary Dentistry, we realize missing teeth can make simple pleasures like eating and speaking difficult while impacting your quality of life. Reach out to our office staff to schedule your consultation today.
Learn More
Implant Crowns
Our dental team will guide you through your implant crown process, answer your questions, and ensure you leave our office with a result that feels natural. Once single tooth implants have healed and grown into the jaw bone, the process of constructing a crown to be placed on the implant begins. In most cases, a scanning component is screwed into the implant, and a digital scan is done at the implant site. This scan is sent to a lab where a crown is made. These implant crowns are designed to either screw onto the implant or they may be cemented onto a component called an abutment that has been screwed onto the implant.
Dentures
If you need to restore your smile in both form and function, then dentures may be what you need.
Dr. Lance Dillon and Dr. Austin Dillon are skilled in the art of constructing your custom dentures. Along with their accomplished team, they can help you speak, eat, and smile again. Book your consultation today to have the confident you deserve.
